원인
- 수많은 원인에 의해 발생하며 대부분 원인이 불명확하다.
- 비만이거나 몸의 유연성이 많을 경우
- 유전적 요인
증상
- 신발 안쪽이 주로 닳고 장시간 보행을 할 경우 쉽게 피로해지며 통증이 느껴질 수 있다.
- 발을 자주 삐는 현상이 발생한다. 발목의 뒤쪽에 지속적인 통증이 있으며, 발의 안쪽 튀어-나온 뼈 부위에 압통이 있을수도 있다.
- 발이 쉽게 피로를 느낀다.
- 각종 족부질환만 유발시킬 수 있을 뿐만 아니라 무릎이나 허리에 이차적은 변형을 유발하 기도한다.
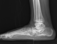
평발
| 수술전 |
수술후 |
 |
 |
| 심한 편평족에서 외측 종골 연장술 및 설상골 열린 절골술의 X-ray |
치료
- 비수술: 보조기
- 수술: 뒷꿈치 뼈를 절제해서 각도를 교정하는 수술을 할 수 있으며,
발의 안쪽 뼈를 연장하여 평발을 교정해주는 수술을 시행한다.
이러한 방법으로 아치를 높여주어 정상 모양의 발로 만들어 준다.
원인
- 수많은 원인에 의해 발생하며 대부분 원인이 불명확하다.
- 하이힐이나 꽉끼는 신발을 오래 신을 경우
증상
- 발가락 뒤꿈치에 통증이 나타나며 발목을 잘 접질리게 된다.
- 불안정한 걸음걸이로 평소 중심을 잡기위에 발가락에 힘을 주게 되어 발가락 변형이 생기기도한다.
치료
- 비수술: 패드, 깔창
원인
- 원인은 불명이나 유전적 소인이 관여되며 신경근육의 이상에서 올수 있다.
- 심하게 다쳐 근육이 수축되거나 화상으로 인한 피부근육의 강축, 골절이 치유될 때 유착되는 등의
- 후유증으로 올 수 있다.
증상
- 굳은살이 박힌 경우가 많다.
- 걸을때는 거골하관절의 운동이 제한되고 거골하관절과 수직족관절이 강직상태에 있게 되어
바깥쪽 족근관절의 염좌를 입기 쉽다.
- 발가락이 과도하게 구부러져 걸을 때 발가락이 바닥을 차고 나가지 못하는 변형을 갖는 경우도 있다.
- 걸을 때 쉽게 쥐가 나고 심한 피로감을 느끼게된다
첨족사진
|
|
치료방법
- 수술: 바로 반후경골건 이전술