보건복지부 지정 관절전문병원 로봇 인공관절 수술 전문 이춘택병원
무릎관절-전치환술
전치환술
관절의 움직임과 기능을 회복하고 통증을 완화하기 위한 재건술로 무릎관절의 퇴행성관절염 또는 류마티스 관절염 등으로 파괴되어 그 파괴된 관절연골 및 골을 제거하고 표면은 금속 삽입물, 무릎관절은 플라스틱 삽입물로 대치하고 삽입물 사이에는 고밀도 플라스틱을 삽입하는 수술적 치료방법이다.

대상
- 일상생활을 할 수 없을 정도로 무릎관절 통증이 심하거나 통증 때문에 보조 기구를 사용해야 걸을 수 있을 경우
- 무릎관절 통증, 만성 염증, 부종이 휴식을 취하거나 약을 먹어도 지속될 경우
- 무릎이 안쪽 또는 바깥쪽으로 구부러져 있을 경우
- 무릎이 뻣뻣하여 구부리거나 뻗는 것이 힘들 경우
- 초기에는 통증 감소에 효과가 있던 약물이 내성이 생길 경우
- 진통제를 먹으면 불편감이나 합병증으로 힘들 경우
- 물리 치료, 보조기구, 약물요법으로도 증상에 호전이 없을 경우
장점
- 수술법과 인공관절의 발달로 수술만 제대로 받으면 20~30년 정도 인공관절 사용이 가능
- 최소 침습술 적용에 따른 수술로 통증이 매우 적음
- 수술 후 빠른 보행이 가능하며 조기퇴원이 가능
- 수술 후 합병증이 현저히 저하
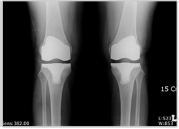
수술 전 수술 후
수술전 사진 수술후 사진
수술후 주의사항
- 규칙적으로 가벼운 운동 프로그램에 반드시 참가하여, 근력을 강화하고 인공관절이 신체에 잘 적응되도록 한다.
- 낙상과 상해 방지를 위해 특히 조심해야 한다.
- 치아 검진을 받을 때 반드시 인공관절 수술한 것을 미리 알려야 한다.
- 사전에 항생제를 복용해야 예상되는 감염을 막을 수 있다.
- 정기적으로 병원을 방문하여 정형외과 의사의 검진을 받아야 한다.
QUICKMENU
  • 대표전화
    1588-2927