이춘택병원
무지외반증
LEE CHUN TEK HOSPITAL
[무지외반증]
무지외반증
01무지외반증이란?
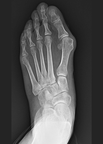
무지외반증은 엄지발가락이 두번째 발가락 쪽으로 심하게 휘어져 엄지발가락 관절이 돌출된 상태를 의미합니다. 심한 경우 엄지발가락과 두번째 발가락이 교차할 정도로까지 변형이 나타나기도 합니다. 30대 이상의 여성에게서 주로 발생합니다.
02무지외반증 발생원인
유전적 요인과 후천적 요인이 작용하는 것으로 알려져 있습니다. 가족력이 있는 경우 무지외반증이 나타나기 쉽고, 평발이거나 발 볼이 넓은 경우 혹은 폭이 좁은 하이힐 등을 자주 착용하는 경우에서 무지외반증이 발생하는 경우가 많습니다.
03무지외반증 증상

  • 엄지발가락이 두번째 발가락 쪽으로 휘어지며 엄지발가락 관절 돌출
  • 돌출된 관절이 자극되어 붉어지고 굳은살, 염증, 통증 발생
  • 엄지발가락의 기능 저하로 다른 발가락에도 통증 발생
  • 발 모양의 변형과 함께 허리 통증 발생하기도 함
04무지외반증 비수술적 치료
변형을 악화하는 요인을 제거하는 것이 중요합니다.

볼이 좁고 앞코가 뾰족한 신발은 무지외반증을 악화할 우려가 있으므로 반드시 피하며 볼이 넓고 부드러운 신발을 착용합니다. 교정을 위한 깔창 등을 사용할 수도 있습니다.

- 편한 신발 착용
- 보조기 또는 깔창 등 착용
05무지외반증 수술적 치료
심한 변형으로 발의 염증과 통증이 심하고, 발가락끼리 서로 교차될 정도로 변형이 진행된 경우에는 수술을 통해 교정을 해야 합니다.

- 절골술을 통한 교정 : 변형된 엄지발가락 뼈와 인대를 교정, 돌출된 뼈를 절단 또는 제자리로 옮긴 후 핀으로 고정
(1) 무지외반증 수술 전 (2) 수술 후 (3) 핀제거 후
무지외반증 무지외반증 무지외반증
온라인예약 의료진소개
QUICKMENU
  • 대표전화
    1588-2927