[요추관 협착증]
01요추관 협착증이란?
보편적으로 척추관 협착증이라 부르는, 요추관 협착증은 요추(허리뼈)에 발생한 척추관 협착증을 의미합니다.
척추관 또는 신경근관, 추간공이 좁아짐에 따라 신경이 압박되어 허리 통증 및 다리의 여러 복합적인 신경증상을 유발합니다.
요추관 협착증
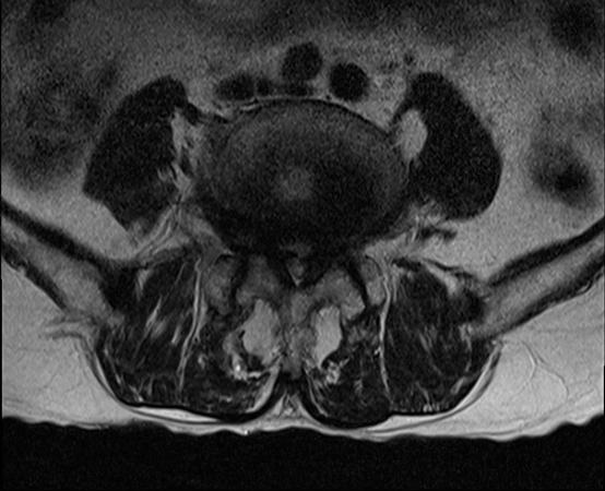
| [MRI] 요추관 협착증 |
 |
 |
02요추관 협착증 발생원인
퇴행성 변화가 가장 대표적인 원인입니다. 관절과 인대가 노화되고 비후되어 척추 신경을 압박하면 혈액순환이 원활히 이루어지지 못한 것이 원인이 될 수 있습니다.
또한, 선천적으로 요추관이 좁아 발생하기도 하며 척추전방전위증, 골절 이후 비정상적인 유합에 의해서도 발생합니다.
03요추관 협착증 증상
- 대퇴부, 다리가 저리고 당김
- 다리 힘 빠짐, 감각이상, 무거운 느낌
- 오래 걸을 때 다리가 무겁고, 터질 듯한 느낌이 들며
허리를 구부리거나 누워서 휴식을 취하면
통증이 사라지는 경향이 있음.
이 때문에 걷다가 쉬는 행위를 반복(간헐적 파행)
04요추관 협착증 vs 허리 디스크
요추관 협착증
| 요추관 협착증 |
허리 디스크 |
| 비교적 단단한 관절, 인대 등의 조직이 신경을 누름 |
비교적 말랑한 젤리와 같은 디스크 물질이 신경을 누름 |
| 서 있거나 걸으면 통증이 악화되고 허리를 구부리거나 휴식하면 통증 감소 |
평소 통증이 지속되다가 서 있거나 걸으면 통증이 감소 |
| 허리를 숙이는 것이 수월하고 통증 없이 편안한 느낌이 듦 |
허리를 숙였을 때 힘들고 다리에 당기는 느낌이 듦 |
05요추관 협착증 비수술적 치료
증상이 심하지 않은 초기 단계에서는 보존적 치료를 우선 시행합니다.
- 약물치료
- 보조기 사용
- 물리치료(온열, 견인, 도수치료 등)
- 운동치료
06요추관 협착증 수술적 치료
다음에 해당한다면 수술적 치료를 통해 신경 압박을 해소하는 것이 필요합니다.
- 보존적 치료에 효과가 없음
- 신경학적 결손이 뚜렷함
- 통증과 간헐적 파행이 뚜렷하며 지속적이고 점차 악화됨
- 심한 신경 압박으로 인한 마비 증상, 대소변 기능 장애가 발생함